www.formation-pratique-implantologie.com

Cours pratique de chirurgie

"Acquérir une expérience pratique sur patient en chirurgie implantaire"


Nous vous proposons différentes formations avec pratique sur patients où vous serez guidés par des experts dans le domaine (chirurgie muco-gingivale, pose d'implants, sinus-lift, greffe en bloc, implants zygomatiques, ect..).

La chirurgie implantaire est une discipline où seules les connaissances théoriques ne suffisent pas.
La bonne gestuelle, la pose des implants, la réalisation des greffes et autres traitements pré-implantaires s'acquièrent aussi par une pratique intense.
Il est difficile de trouver une formation où la pratique sur patient est possible, ou alors, ce sont des diplomes universitaires très sélectifs à l'entrée avec peu de places.

En plus de vos connaissances théoriques, venez acquérir de l'expérience pratique essentielle pour vos patients !!



À propos imageÀ propos imageÀ propos image

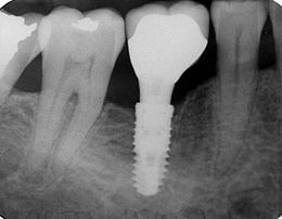
IMPLANTOLOGIE ORALE
cours d'implantologie sur patients.
L'objectif de ce cours est d'acquérir la pratique nécessaire au positionnement d'implants. Les étapes à suivre sont:
Effectuez la planification appropriée, discutez des options possibles.
Effectuer les bonnes incisions.
Effectuer les techniques de forage.
Effectuer les différentes techniques pour la pose d'un implant.
Réaliser les differentes sutures, etc.
Chaque étudiant placera au moins 20 implants (incluses dans le prix du cours). Il est possible d'intensifier la pratique avec un coût supplémentaire.
Le prix de ce cours est de 8500€ et comprend l’hôtel et le vol.

Le cours dure 5 jours à Maringa au Brésil (implant posé neodent (straumann)) ou à Sao Paulo si le groupe dépasse 4 praticien.

CHIRURGIE ORALE
Dans ce cours, nous effectuerons plusieurs par jour.
- extractions de dents incluses, avec différents degrés de difficulté.
- Extractions canines incluses.
- torus mandibulaire et palatain.
- Biopsies des tissus mous.
- Régularisation de la crête alvéolaire, etc.
matériaux requis: 5 fraise à os.
Le cours dure 5 jours à Maringà, Brésil.
Le prix du cours est de 7200 euros et comprend l’hôtel et le vol.

CHIRURGIE AVANCÉE
Le cours met l'accent sur l'apprentissage et l'application des techniques suivantes:
- Technique d'élévation des sinus de CALDWELL LUC.
- Élévation du plancher sinusien (summers, ostéotome).
- Régénération osseuse guidée (positionnement de la membrane de collagène).
- Poses complexes d'implants.
Le nombre d'implants posés dans cette formation dépend aussi du nombre de chirurgie pré-implantaire réalisées, de l'adresse et la rapidité du praticien.
Le prix de ce cours est de 9500 euros et comprend l’hôtel et le vol.
Le cours dure 5 jours à Maringa au Brésil (implant posé neodent (straumann)).

IMPLANTS ZYGOMATIQUES
- A Maringà 7/8 implants posés 9000 euros; 11/12 implants posés 11000 euros; 16 posés 13000 euros
Une partie théorie est incluse.
Cela comprend vol + hôtel.
Seulement par groupe de 2 praticiens.

FORMATION SUR MESURE
Des formations pratiques sur-mesure sont réalisables; il suffit de nous contacter suffisamment en avance.

  • Laissez nous vos coordonnées et le responsable scientifique vous contactera.

Pour nous contacter, le meilleur moyen d'avoir une réponse rapide est de laisser votre mail et numero de téléphone dans le formulaire de contact; nous sommes très réactifs.